News 2025

 

 

 

Was soll ich sagen: 2 Wochen ist unser J-Wurf jung, so gewachsen und die Gewichte unschlagbar! Wo soll das nur noch hinführen. Denke mir Mama Chandra setzt alles daran dass ihre Kinder wachsen und gedeihen. Alle J-Kinder haben die Augen geöffnet und nun beginnt ein neuer Lebensabschnitt für die Kleinen.

Gerne lade ich Euch in unser Welpenzimmer ein!

 

 

Bitte das Bild anklicken!

 

 

 

 

Am 29.10.2025 ist unser kleines Kleeblatt geboren. Es sind 2 Buben und 2 Mädels. Alles verlief total entspannt und ohne Komplikationen und Chandra kümmert sich rührend um ihre Kleinen. Nun beginnt für uns eine aufregende Zeit.

 

 

Bitte Bild anklicken!

Hallo, unser Date hatte Folgen. 

Solltet Ihr an einem unserer Kinder Interesse haben dann meldet Euch bitte!

 

26.09.2025

 

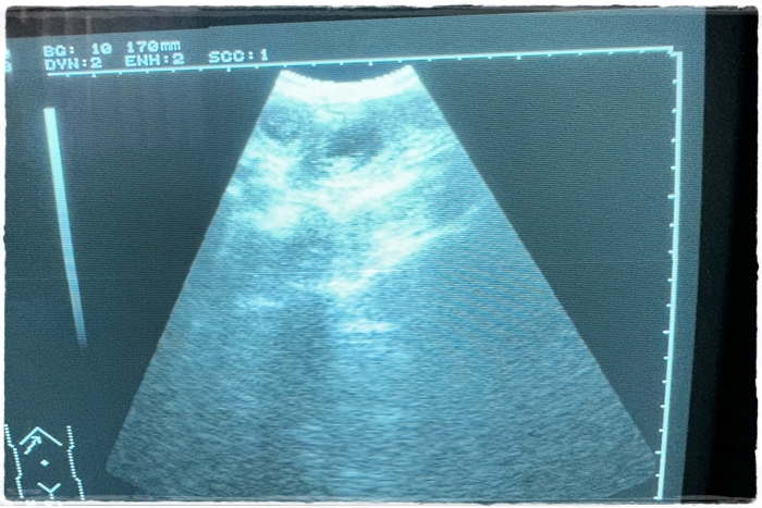
Der Termin zum Ultraschall und siehe da es hat geklappt!

" Wenn viele kleine Herzen schlagen " 

Es hat geklappt und drüfen uns Ende Oktober auf Nachwuchs freuen. Wenn die Liebe Früchte trägt lacht unsere Chandra und das Züchterherz von Mama Kerstin. Bis es so weit ist wird unsere Chandra verwöhnt.

 

 

CACIB Leipzig am 07.09.2025

 

Richterin Monika Blaha, Austria

 

Freyja erhielt ein V1 VDH CAC, CAC-Club und das Res.-FCI-CACIB

 

 

CACIB Leipzig am 06.09.2025

 

Richter: Nymann Gunnar, Dänemark

 

Leipzig ist für uns immer ein Heimspiel. Bei so einer kurzen Fahrzeit fahren wir immer sehr gerne zum ausstellen. Und was war das für ein erfolgreicher Tag für unserer Freyja. Das macht einen Züchter so richtig stolz und über glücklich. Unsere kleine schwarze Perle war an diesem Tag super gut drauf.

 

Freyja erhielt ein V1 VDH CAC, CAC-Club, BH & Best of Breed sowie den

Tietel Leipzig Sieger

 

Chandra ist in der Hitze und denkt so über ihren zukünftigen Partner nach. Und natürlich denkt sich so Frauchen Kerstin wir müssen auf die Suche gehen. Eigentlich nicht denn dieser stand schon lange fest! Es gab einen Plan A und aus diesem wurde leider nix.

Aber Plan B hat geklappt.

Am 30.08.2025 haben wir uns auf den Weg gemacht, ein bisschen spielen und putzen und dann hat es gekracht. Nun hoffen wir das die Liebe auch Früchte trägt. Ganze 4 Wochen müssen wir warten und dann schauen wir was der Ultraschall so sagt.

Gut Ding will Weile haben!!!!!

 

 

10.08.2025, CAC Strausberg

 

Richterin: Marie-Luise Doppelreiter, A

 

Neuer Tag und neues Glück !

 

Freyje erhielt ein V1 VDH CAC, CAC-Club, BH & BOS

dazu den Titel Landessieger BB

 

 

09.08.2025, CAC Strausberg

 

Richter: Hans Almgren, S

 

Freyja berhielt ein V1, VDH CAC, CAC-Club, BH & BOS

dazu den Titel Landessieger 2025

 

Besser kann es eigentlich nicht laufen für unsere kleine Maus. Sie hat aber auch sehr viel Spaß und Freude an der Ausstellung und zeigt sich sehr gerne.

 

 

Nationale Ausstellung Possen am 14.06.2025

 

Richter: Peter Firic, SRB

 

Freyja erhielt ein V1 VDH CAC, CAC-Club

 

Nationale Ausstellung Possen am 15.06.2025

 

Richter: Günter Wonisch, A

 

Freyja erhielt ein V1 VDH CAC, CAC-Club

 

 

Gemeinschafts-Rassehunde-Ausstellung 

 

Köln-Hürth am 01.06.2025

 

Richter:  Gauthier Lequain, F

 

Freyja bekommt ein V1 VDH CAC, CAC-Club

 

 

Gemeinschafts-Rassehunde-Ausstellung 

 

Köln-Hürth am 31.05.2025

 

Richterin: Sara Moore, GB

 

Unsere Freyja bekam ein V1 VDH CAC, CAC-Club

wurde Beste Hündin und erhielt das BOS

 

 

 

 

 

 

 

Allen ein

 

recht schönes Osterfest.

 

 

I`Thso im neuen zu Hause!

Und einen neuen Namen hat er auch bekommen!

Oskar wird er ab jetzt heißen.

Unternommen haben wir schon: eine Fahradtour, kleine Spaziergänge in der Stadt, Gartenbesuch bei einer Freundin aber mit sehr viel Pausen.

Fressen schmeckt, Stubenrein sind wir auch, an der Leine klappt super und mit dem Auto ist auch alles eassy. Was wünscht sich das Züchterherz mehr.

Bitte Bild anklicken und Ihr erfahrt mehr über den kleinen I`Thso!

 

 

 

Freud und Leid hängt unmittelbar zusammen.

Und es bricht mir das Herz.

 

Am 21.03.2025 habe ich einen traurigen Anruf von meiner Ines bekommen, dass unser kleiner Limo mit 16 Jahren, 9 Monate und 12 Tagen über die Regenbogenbrücke gegangen ist. Mit dem Welpenkauf von Limo begann eine wunderschöne Freundschaft. Wir haben so viel zusammen erlebt, ob es Ausstellungen waren, Spaziergänge oder einfach nur einen Besuch. Diese Erinnerungen behält man für immer im Herzen und denkt an diese wunderschönen Momente zurück.

Ich bedanke mich bei Ines für die tolle Pflege, die gesundheitliche Fürsorge, die langen Spaziergänge und Auslastung und die Liebe.

So geht ein Stück der Man-Dara-Wa Geschichte dahin. Und was bleibt sind die Erinnerungen an unseren Limo Schatz.

Leider leben unsere Lieblinge nie lang genug und es ist immer zu früh. Aber ich weiß, Limo war einer der glücklichsten Hunde der Welt! 

R.I.P Limo - unvergessen und immer im Herzen.

 

 

 

 

Neues von unseren kleinen I`Thso Mann!

Mittlerweile ist er nun schon ausgezogen und fühlt sich im neuen zu Hause richtig wohl. Ich habe diesemal nicht viel Bilder gemacht da ich jede einzelne Minute und Sekunde mit diesem kleinen Mann genossen habe. Und mir war die Zeit einfach mit ihm zu kostbar. Sein neues Frauchen hat natürlich aktuell immer ein paar Bilde und Videos vom Handy bekommen. Was wir zwei alles zusammen erlebt haben kann man nicht in Worte fassen. Ich habe immer gedacht ein Einzelprinz ist etwas schwierig in der Entwicklung und Erziehung . Aber ganau das ist dass ganze Gegenteil. Mein super liebes Rudel hat auch alles dafür gegeben das der kleine I`Thso in der großen weiten Welt zurecht kommt.

 

 

 

Nun ist schon die 1. Woche rum und unser Prinzenkind hat sich super entwickelt. Er hat sein Geburtsgewicht richtig verdoppelt und liegt in seiner Wurfbox glücklich uns zufrieden. Man hört ihn nicht und sieht ihn nicht. Mama Freyja wärmt I`Thso, putzt ihn und liegt die ganze Zeit bei ihren kleinen Bub. Besser kann es wirklich nicht laufen.

Bitte Bild anklicken!

 

 

Unser kleines Prinzenkind erblickte am 04.01.2025 das Licht der großen weiten Welt. Es war eine Bildebuchgeburt und wir sind so froh das alles gut verlaufen ist. Mama Freyja ist glücklich und ich natürlich auch. 10 aufregende Wochen liegen nun vor uns. Und ich möchte allen Besuchern an unser Glück mit Teilhaben lassen.

Bitte Bild anklicken!

Ich hoffe Ihr habt die Feiertage alle gut überstanden und seit gut in das neue Jahr 2025 reingerutscht. Unser Limo und Phu , liebevoll gepflegt von Ines Reppin, wünschen stellvertretend mit diesem wunderschönen Bild alles Glück der Erde für 2025!

Druckversion | Sitemap
© Man-Dara-Wa / Kerstin Andres 2025